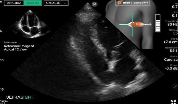
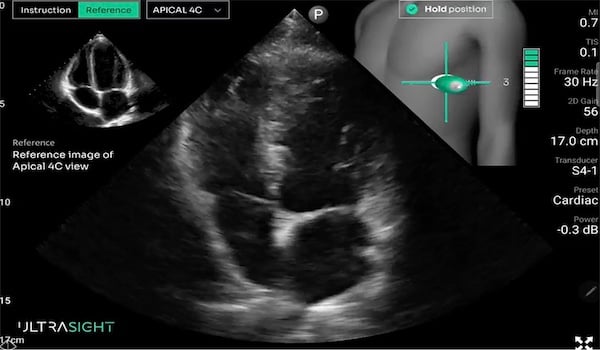
UltraSight’s AI-driven software allows health-care professionals to consistently perform high-quality ultrasound in a variety of settings, including the emergency department and intensive care unit. Photo: UltraSight
The demand for ultrasound has outpaced the supply of trained sonographers over the past 15 years, straining hospital resources and creating delays in care.1 One of the most affected areas is the echocardiography (echo) lab, where access to echocardiograms is often limited by staffing shortages.
Artificial intelligence (AI) brings the promise of expediting cardiac triage by allowing clinicians to perform cardiac ultrasounds at the bedside without sacrificing image quality. One such technology is the Echo Stewardship Platform from UltraSight. It combines real-time AI guidance and a built-in image-quality meter with structured training for non-sonographers.
In January, UltraSight received FDA clearance to expand the platform to support handheld, laptop, and cart-based ultrasound systems.2 Now, researchers at Jefferson Health, serving the Greater Philadelphia and South Jersey region, are launching pilot programs to evaluate how advanced practice providers can use the platform to acquire diagnostic-quality echocardiographic views at the bedside.
“Frequently in the echo lab, we experience delays that extend beyond 24 hours, sometimes even 48 hours, from when an echo was ordered to when it was performed,” explains Praveen Mehrotra, MD, the director of echocardiography and an associate professor of medicine at Jefferson Health. “AI-guided ultrasound has the ability to ease the burden on the echo lab, improve patient satisfaction and reduce hospital length of stay.”

Piloting Ultrasight at the Bedside
Jefferson Health is performing multiple UltraSight studies concurrently. One, funded in part by the Israel Innovation Authority, will evaluate how the platform can support rapid identification of right ventricular dysfunction in patients diagnosed with pulmonary embolism (PE) in all health-care settings.
“Once patients with PE are diagnosed, cardiac ultrasound helps us determine the next step—should we triage the patient to a telemetry floor or the intensive care unit, and what kind of therapies should they receive?” says Frances Mae West, MD, director of the Pulmonary and Critical Care Medicine Fellowship at Jefferson Health and principal investigator of the study.
“Point-of-care ultrasound with AI guidance is the icing on the cake,” she adds. “It allows the practitioner to take a diagnostic-quality image, interpret it, and correlate the findings into patient management without delay.”
Another study, led by Dr. Mehrotra, will assess the performance of non-sonographers in using UltraSight to perform follow-up images after certain EP lab procedures. “What we hope to do is expand the role of nurse practitioners to include performing cardiac ultrasound, allowing them to obtain the one or two views required to exclude pericardial effusion and enable patients to be discharged sooner,” Dr. Mehrotra says.
How the Platform Works
UltraSight is compatible with most ultrasound devices. The platform processes and stores data inside a health system’s local environment rather than sending it to the cloud, keeping protected health information (PHI) secure. AI within the platform provides users with visual and directional cues. An on-screen meter offers insight into whether images are diagnostic quality.
“What we see as we roll this out across health systems is that it takes about four hours of training and eight scans or less, practicing with physician oversight, for users to get comfortable and confident enough to use our platform,” says Ramya Singh, chief commercial officer at UltraSight.
Dr. West, who has taught novices point-of-care ultrasound for about 10 years, says she wasn’t able to do it without touching the probe until about two to three years ago. “It’s a huge plus to have an AI mentor there to instruct the learner how to move their hand,” she says.

Closing Care Gaps
Expanding usage of AI-guided cardiac ultrasound has the potential to close two important care gaps. First, Dr. West says, it can help bridge the gap in access to echocardiography on nights and weekends, times when hospitals are typically understaffed. Second, Singh says, is that it can help bring care to “cardiology deserts,” areas where cardiologist support isn’t available.
“A recent study showed that about 50% of counties in the nation don’t have access to cardiology,3 which means they likely don’t have access to a cardiac sonographer, either,” Singh says. “AI-guided ultrasound provides the technology to augment providers’ skill sets and help them practice to the highest level of their licensure.”
References
- Won D, Walker J, Horowitz R, Bharadwaj S, Carlton E, Gabriel H. Sound the Alarm: The Sonographer Shortage Is Echoing Across Healthcare. J Ultrasound Med. 2024;43(7):1289-1301. doi:10.1002/jum.16453.
- UltraSight. UltraSight receives FDA clearance to expand its AI-guided cardiac echo stewardship platform across ultrasound systems. UltraSight website. Accessed March 4, 2026. https://ultrasight.com/fda-clearance-across-ultrasound-systems
- Kim JH, Cisneros T, Nguyen A, van Meijgaard J, Warraich HJ. Geographic disparities in access to cardiologists in the United States. J Am Coll Cardiol. 2024;84(3):315-316.
March 09, 2026 
