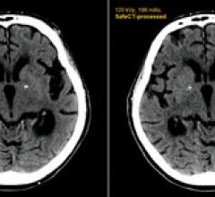
Angiography, Computed Tomography (CT), Flat Panel Displays, Information Technology, Magnetic Resonance Imaging (MRI), Mobile C-Arms, Nuclear Imaging, Ultrasound Imaging
With headquarters in Tustin, Calif., Canon Medical Systems USA Inc. markets, sells, distributes and services radiology and cardiovascular systems, and coordinates clinical diagnostic imaging research for all modalities in the United States. Canon Medical Systems Corporation, an independent group company of Canon Inc., is a global leading provider of diagnostic imaging systems including CT, MRI, ultrasound, X-ray systems and clinical laboratory systems. In business for more than 100 years, Canon Medical Systems Corp. (formerly Toshiba Medical Systems Corp.) was built to improve the quality of life for all people. It delivered on this mission with medical innovations that are “Made for Life” — made to improve the lives of patients, clinicians and administrators. Its legacy was built with pioneering medical technology, such as the world's first X-ray machines in 1932 and Japan's first magnetic resonance imaging (MRI) systems in 1983. Canon Inc. entered the healthcare business in 1940 with the development of Japan’s first indirect X-ray camera which was used for the early detection of pulmonary tuberculosis. The partnership of Toshiba Medical Systems Corporation and Canon (now Canon Medical Systems Corp.) brings together two cutting-edge technology businesses, founded with similar values of creativity, flexibility and patient-friendly healthcare solutions. Today, their combined history of research and innovation drive forward Canon Medical Systems’ vision for building a world-class healthcare enterprise. For more information: https://us.medical.canon/
Canon Medical Systems’ offering includes: computed tomography, magnetic resonance, ultrasound, X-ray, cath and EP labs.
June 17, 2011
