May 06, 2020
May 6, 2020 — The U.S. Food and Drug Administration approved AstraZeneca’s dapagliflozin (Farxiga) oral tablets for…
May 06, 2020
May 6, 2020 — The European Society of Cardiology (ESC), one of the world's largest cardiovascular conferences, is…
May 05, 2020
May 5, 2020 — The large European interventional cardiology conference EuroPCR has been cancelled due to the contenting…
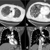
May 05, 2020
May 5, 2020 — Children and teenagers with COVID-19 showed distinctive clinical and computed tomography (CT) findings,…
May 05, 2020
May 5, 2020 — Wearable biosensor vendor VitalConnect Inc. was granted emergency use authorization (EUA) status by the U…
May 05, 2020
May 5, 2020 — The Society of Cardiovascular Computed Tomography (SCCT) announced plans  this week to hold its annual…
May 04, 2020
May 4, 2020 – A new technique that combines computed tomography (CT) and magnetic resonance imaging MRI can bolster…
May 04, 2020
May 4, 2020 — A committee comprised of vascular surgeons, medical physicians and technologists from the University of…
May 04, 2020
May 4, 2020 – The Society for Cardiovascular Angiography and Interventions (SCAI) has released a position statement on…
May 04, 2020
May 4, 2020 — Cardiac Insight Inc., a U.S.-based digital healthcare innovator specializing in body-worn sensor…
May 04, 2020
In an effort to keep the imaging field updated on the latest information being released on coronavirus (COVID-19), the…
May 01, 2020
May 1, 2020 — Abiomed, maker of the Impella heart pump, has acquired Breethe, developer of a novel extracorporeal…
May 01, 2020
According to the healthcare IT market research firm KLAS, adopting structured reporting is top of mind in the…
April 30, 2020
April 30, 2020 — A large study in adolescents and children, some as young as 3 years of age, shows a link between…
April 30, 2020
The biggest trend across healthcare the past two years is the emergence of artificial intelligence (AI) and its…
April 30, 2020
May 1, 2020 — The Heart Rhythm Society (HRS) has created a COVID-19 Task Force to make recommendations related to…
April 30, 2020
April 23, 2020 — A special report published in the journal Radiology outlines prevention, diagnosis and treatment of…
April 28, 2020
(UPDATED information added to this article June 10, 2020)
April 28, 2020 — Medical conferences are where the latest…
April 24, 2020
April 23, 2020 — The U.S. Food and Drug Administration (FDA) issued a Drug Safety Communication today reminding doctors…
April 24, 2020
April 24, 2020 — AliveCor and Omron Healthcare announced a global, strategic alliance that combines AliveCor's mobile…
