July 05, 2018
July 5, 2018 — Philips and Florida’s Jackson Health System, one of the nation's largest public health systems,…
July 05, 2018
July 5, 2018 — Physician practices now have access to new resources to improve their standard of quality care for…
July 05, 2018
July 5, 2018 — Using catheter-based ablation instead of medications alone reduces the risks of death and stroke in…
July 03, 2018
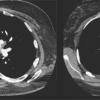
July 3, 2018 — Cardiac hybrid imaging with computed tomography (CT) and nuclear stress testing is an excellent long-…
July 03, 2018
July 3, 2018 — HeartFlow Inc. announced that UnitedHealthcare now covers the HeartFlow FFRct Analysis, extending access…
July 02, 2018
July 2, 2018 — The PQ Bypass Detour System showed promising 12-month durability for patients with extremely long…
July 02, 2018
July 2, 2018 — University of Washington (UW) Medicine cardiologists have developed a tool to predict which heart…
July 02, 2018
July 2, 2018 — Here is the list of the most popular content on the Diagnostic and Interventional Cardiology (DAIC)…
June 29, 2018
June 29, 2018 — Results from the MERCURY PE study showed that low-risk pulmonary embolism (PE) patients treated with…
June 29, 2018
June 29, 2018 — Embolx Inc. has received 510(k) clearance from the U.S. Food and Drug Administration (FDA) for its next…
June 29, 2018
June 28, 2018 — Investigators at Children's Hospital Los Angeles (CHLA) and the University of Southern California (USC…
June 28, 2018
June 28, 2018 — Dictum Health Inc., creators of the Virtual Exam Room (VER) telehealth technology, announced the…
June 27, 2018
June 27, 2018 – A recent study conducted with the Minneapolis Heart Institute found that Bay Labs’ EchoMD AutoEF deep…
June 27, 2018
June 27, 2018 — Wearable cardioverter defibrillators may be a safe and effective alternative to surgically implanted…
June 27, 2018
June 27, 2018 — Results from a 902-person, five-country survey of people living with atrial fibrillation (AF) reinforce…
June 26, 2018
June 26, 2018 — MedStar Heart & Vascular Institute physicians participating in a clinical trial have become the…
June 26, 2018
June 26, 2018  – Northwestern Medicine Bluhm Cardiovascular Institute in Illinois received a $25 million gift from the…
June 25, 2018
June 25, 2018 — New research finds changes in cellular struts called microtubules (MT) can affect the stiffness of…
June 25, 2018
June 25, 2018 — Digisonics will exhibit its latest functionality for data-driven decisions at the American Society of…
June 25, 2018
June 25, 2018 — Computed tomography (CT) angiography is a useful adjunct to autopsy that is likely to increase the…
