This is an example of how the heart's left atrial appendage (LAA) can be evaluated for thrombus and possible transcatheter occlusion using a new cardiac ultrasound lighting technology called TrueVue. It is a movable virtual light source that can interact with the echocardiography images to show photorealistic, virtual surgical views of the cardiac anatomy. The light source can be moved anywhere in the image, including behind structures to backlight them. The technology is offered on the Philips Healthcare Epiq CVx cardiovascular ultrasound system. It was shown for the first time in the U.S. at the American Society of Echocardiography (ASE) 2018 meeting.
Recent Videos View all 660 items
On July 16, 2024, Diagnostic and Interventional Cardiology presented a webinar on "Maximizing Structural Heart Workflows: Harnessing the Power of CVIS and AI."Â
During the webinar, Omer Schalit–Cohen, chief product officer at Optum’s Healthcare Enterprising Imaging business unit, addressed optimizing workflow and efficiencies in the cardiovascular imaging department. In the presentation, Cohen examines how you can harness the power of the CVIS and AI technologies to enhance structural heart workflow in the EP lab and ultrasound procedures.
Schalit–Cohen is the chief product officer at Optum’s Healthcare Enterprising Imaging business unit. With more than 20 years of experience in innovation, he is an expert in the Imaging’s department complex workflows and has been instrumental in driving market leading solutions that have significantly enhanced patient care and department’s efficiency. as well as customer satisfaction.
Â
Company Profile
The webinar is sponsored by Optum, a leading information and technology-enabled health services business dedicated to helping make the health system work better for everyone. With more than 215,000 people worldwide, Optum delivers intelligent, integrated solutions that help to modernize the health system and improve overall population health. Optum is part of UnitedHealth Group.
For more information, visit optum.com.
On Jan. 10, 2024, Diagnostic and Interventional Cardiology presented a webinar on "Contrast Management in Modern PCI."Â
Dr. Aditya Sharma, MD, MBA, FACC, FSCAI, an interventional cardiologist from Wellspan Health in Central Pennsylvania was the presenter. The webinar is sponsored by ACIST Medical Systems.
In the cardiac cath lab, the use of iodinated contrast in both diagnostic and PCI procedures is commonplace. The effects of iodinated contrast on renal function have been known and researched. However, conversations are ongoing around best practices and standards of care regarding contrast management and treatment for those with higher risk factors, like compromised renal function. Participate in this webinar to gain insight on the topic of contrast-induced kidney injury and how one could approach contrast management in modern PCI with use of the ACIST CVi Contrast Delivery System.
Learning Objectives
* Understand basic mechanisms of contrast induced kidney injury.
* Determine incidence of disease along with long term patient and economic implications.
* Review risk factors determining higher risk populations.
* Evaluate device strategy in modern era to mitigate risk and promote procedural efficiency and safety.
* Case review of use of the ACIST CVi Contrast Delivery System in high risk patient.Â

Dr Aditya Sharma
Dr. Sharma is board certified in internal medicine, cardiovascular disease, and interventional cardiology, having completed both residency and fellowship programs at George Washington University - School of Medicine and Hospital. He chose a career in medicine to be able to help others while being able to continuously enrich his skills and apply learned scientific knowledge.
About ACIST
Physicians worldwide rely on our diagnostic technologies to give them the power to visualize, assess and inform patient treatment. ACIST informs interventional decisions during peripheral, cardiovascular disease and structural heart procedures. Economic decision-makers appreciate our ability to demonstrate the value of therapeutic intervention.
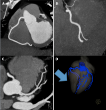
Preventing contrast induced nephropathy and managing patients with chronic kidney disease remain major challenges in the cardiac catheterization lab. In recent years, contrast supply shortages have presented a new challenge to care delivery. When considering these challenges, and as quality metrics in our labs face more scrutiny, there are existing technologies and best practices such as a variable rate contrast delivery systems and HD IVUS that can be used to manage workflow and improve patient outcomes.
The ACC Interventional Council’s recent statement recommending that intracoronary imaging be a routine part of clinical practice further reinforces the need for adoption of intracoronary. Using a case-based approach, the faculty will demonstrate how to use the ACIST CVi contrast delivery system, HDi high definition IVUS and diagnostic and post-PCI physiologic assessment to reduce contrast usage, improve AKI rates and deliver optimized patient outcomes.
Learning Objectives
By the end of this webinar, participants will understand that high-quality care starts at the point of education and can transform cardiovascular imaging. Attendees will see how optimized workflows can improve quality and will be able to:
-
To understand the benefits of implementing a variable rate contrast delivery system in the cath lab.
-
To understand the clinical benefits of HD IVUS utilization and how to implement a standardized workflow for effective use.
-
To understand how HD IVUS and physiologic testing can be used to improve patient outcomes and reduce contrast utilization.
Featured Speakers

Dr. Matheen A. Khuddus, Director of Cardiovascular Research/Director of the Cardiac Catheterization Lab, HCA Florida North Florida Hospital and the Cardiac & Vascular Institute, Gainesville, Fla.
Dr. Khuddus is an interventional cardiologist who currently serves as the Director of Cardiovascular Research and the Director of the Cardiac Catheterization Lab as well as a National Physician Director for HCA Healthcare. He is a fellow of the ACC and SCAI. He is board certified in Cardiovascular Medicine, Interventional Cardiology, and Internal Medicine. He is also an AHSCP Clinical Hypertension Specialist.

Dr. Darshan Doshi, Director of Complex Coronary Artery Disease, Massachusetts General Hospital, Boston, Mass.
Dr. Doshi is an interventional cardiologist who specializes in complex coronary intervention, specifically chronic total occlusions, surgical turndowns, ultralow and zero contrast stenting procedures, and treatment of recurrent stent blockages. He is the Director of Complex Coronary Artery Disease at MGH. He is board certified in Cardiovascular Medicine and Interventional Cardiology.
About ACIST
Physicians worldwide rely on our diagnostic technologies to give them the power to visualize, assess and inform patient treatment. ACIST informs interventional decisions during peripheral, cardiovascular disease and structural heart procedures. Economic decision-makers appreciate our ability to demonstrate the value of therapeutic intervention.
Behavioral science is being applied in unique ways for enterprise-imaging product design.
Behavioral science is the study of human behavior. It’s a mix of psychology, sociology, social and cultural anthropology, and economics. Using a data-driven, human-centered approach, behavioral science helps uncover what people have done in the past and tries to predict — and often change — how they’ll behave in the future.
In this webinar, leading healthcare experts will discuss how observation, interviews, and experimentation can help the industry form a better understanding of current customer needs and pain points within cardiovascular imaging. Having clinicians involved in the product-design process has led to the complete rearchitecting of a next-generation hemodynamics solution.
Using a real-world scenario, we’ll share a clinician’s experience working with behavioral science and product-development teams, provide an understanding of how they’re using hemodynamics today, and get their thoughts on the future of imaging and hemodynamics.
By listening to key stakeholders, new features can be brought to market that will have a notable impact on the way health systems operate. By building better products, we can help improve patient outcomes and ultimately transform the healthcare industry — one behavior at a time.
Learning Objectives
-
How a next-generation hemodynamics system has implemented 19 user-centric concepts and undergone iterative testing with healthcare providers.
-
How physicians, technicians, nurses and administrators are providing their expertise to bring new features to market that will have a notable impact on the way health systems operate.
-
What a next-generation hemodynamics system can do to keep pace with new technology innovations in cardiovascular care and increasing clinical demands.
Featured Speakers

James Stinnett, Behavioral Scientist, Change Healthcare
James Stinnett is an experienced researcher with a background in product, UX, and behavioral science. He joined Change Healthcare three years ago and is currently a researcher on the behavioral science team.

Dr. Barry Bertolet, Interventional Cardiologist and Director of Cardiac Catheterization Laboratory, North Mississippi Medical Center
Dr. Barry Bertolet champions the education of physicians and patients throughout the region and has participated in numerous research trials exploring early detection and treatment of cardiovascular diseases. He is a founding member of the Mississippi Health Care Alliance, an organization which has developed the nation’s first statewide system of care for both heart attack and stroke. He is also board certified by the American Board of Internal Medicine in cardiovascular disease, internal medicine and interventional cardiology.
About Change Healthcare
Change Healthcare is a leading independent healthcare technology company, focused on insights, innovation and accelerating the transformation of the healthcare system through the power of the Change Healthcare platform. We provide data and analytics-driven solutions to improve clinical, financial, administrative, and patient engagement outcomes in the U.S. healthcare system.
Sponsored Videos View all 46 items
Enhanced features on the Philips EPIQ CVx ultrasound system provide a next level photorealistic 3D rendering, making it easy for users to interpret what they are seeing. The TrueVue feature enhances the sense of depth and space, producing images that appear natural and realistic to the human eye. Â
Watch the video to check out how TrueVue can help improve views of LAA and MV morphology.Â
Automated features on the Philips EPIQ CVx cardiology ultrasound system are helping to bring consistency and speed to every echo exam. The AI-empowered algorithm delivers fast and consistent measurements – in half the time of manual methods.* Â
Watch the video to see how you can put “smart”  to work with the latest AI-powered quantification tools.Â
*External study with external sonographers comparing the results of 18 exams with and without AutoMeasure
The X5-1c transducer from Philips provides enhanced clinical information in transthoracic imaging over a standard phased array transducer. When combined with nSIGHT Plus image formation on the EPIQ CVx cardiology ultrasound system, the X5-1c transducer enables image quality rarely seen from a transthoracic transducer.Â
Watch the video to learn about the benefits which may include decreased exam time due to faster access to echo windows, increased confidence in quantification results and more.Â
Philips recently announced an update to their flagship EPIQ CVx premium cardiology ultrasound system. Watch the video to learn about the latest features including the next-generation nSIGHT Plus imaging architecture system that leverages both hardware and software to support sophisticated image formation and enhanced image quality.
Conference Coverage View all 467 items
As part of DAIC's continuing Thought Leadership Series, this month Editorial Director Melinda Taschetta-Millane sits down with Philip B. Adamson, MD, MSc, FACC, Chief Medical Officer of CVRx, to talk about health equity — starting at the beginning of clinical trials, and including how medical device manufacturers need a clear roadmap from the get-go to achieve success.
As Chief Medical Officer of CVRx, Dr. Adamson will spearhead efforts to drive awareness and appropriate use of Barostim therapy among clinicians. He will guide comprehensive medical education, outreach and guideline integration initiatives to establish Barostim as the standard of care for patients with heart failure. Dr. Adamson previously was with Abbott Laboratories, where he served as Divisional Vice President and Chief Medical Officer of the Heart Failure division. A renowned expert in heart failure, he has nearly three decades of experience in academia as a professor and as a practicing cardiologist, during which time he authored over 150 manuscripts and book chapters. Dr. Adamson earned his MD with distinction from the University of Oklahoma College of Medicine and MSc in physiology from the University of Oklahoma.
His clinical interests focus on developing more efficient and effective disease management systems for patients with chronic heart failure, specifically focusing on remote monitoring of physiologic signals from implanted devices. He has also served as the principal investigator on the steering committees of several large randomized clinical trials over the past decade.
Related content:
DAIC Thought Leadership Series: Practical Realities of Artificial Intelligence in Echocardiology
DAIC Thought Leadership Series: Collaboration Challenges in Complex Cardiology Settings
Â
Industry trade shows and conferences seem to be making their comeback in 2024. And the Healthcare Information and Management Systems Society (HIMSS) Global Conference and Exhibition seems particularly poised to deliver the best of the best when it comes to digital transformation in both the delivery of healthcare, but also the delivery of a quality experience for those in this demanding, rapidly evolving industry. This month in our ongoing One on One series with industry leaders, we are talking with Hal Wolf, FHIMSS, president and CEO of HIMSS. He offered insights on the society’s new partnership with Informa Markets, key topics being covered at HIMSS24, AI’s impact on the industry, and his thoughts on healthcare sustainability.
Find more HIMSS24 conference coverage here
A New Partnership for Growth
Last August, Informa Markets and HIMSS announced a landmark partnership to propel the growth and evolution of the HIMSS Global Health Conference and Exhibition, recognized as the most influential healthcare technology event of the year, and in North America. It draws 40,000 health professionals, tech leaders, providers and governmental organizations from across the globe. Informa Markets, the world’s largest exhibition organizer, took on management of the HIMSS Exhibition, while HIMSS continues to oversee developing expert content and programming.
Exciting New Features at HIMSS24
At HIMSS2024, with this new collaboration comes new features, including:
- A Digital Health Technology Theme Park, filled with innovations that revolve around AI, workforce and the business of healthcare;
- The Government Connections Plaza, featuring the latest rundown from Washington;
- A reimagined Interoperability Showcase for a deeper dive into the inner workings of healthcare;
- Hot topics will be featured on the exhibition Main Stage; and
- A Hosted Buyer Program, facilitating focused meetings between providers and trusted companies in healthcare technology.
Related content:
Find more HIMSS24 conference coverage here
VIDEO: Using Maturity Models to Measure Digital Health
VIDEO: Moving Digital Transformation Forward in Healthcare
VIDEO: Key Components to Creating and Implementing AI and Digital Transformation Solutions
VIDEO: The Benefits and Pitfalls of Artificial Intelligence in Healthcare
VIDEO: A Look at Cybersecurity and How Healthcare is at Risk
HIMMS is working to bring empirical knowledge and evidence of value and impact of digital maturity measured by the HIMSS maturity models and the Digital Health Indicator (DHI), which is a blueprint for digital health advancement. The maturity models provide prescriptive frameworks to healthcare organizations to help build their digital health ecosystems. DAIC spoke with Anne Snowdon, RN, PhD, FAAN, professor of strategy entrepreneurship, Odette Business School, University of Windsor, CEO of SCAN Health and Chief Scientific Research Officer, HIMSS Analytics, to find out more about these models, and what the latest scientific research is telling us.
Dr. Anne Snowdon is a Professor of Strategy and Entrepreneurship at the Odette School of Business, University of Windsor.  Currently, Dr. Snowdon is the Chief Scientific Research Officer for HIMSS, Vice Chair of the Board of the Directors for Alberta Innovates, and member of the Health Futures Council of Arizona State University (ASU).  She is an Adjunct Faculty at the Department of Computer Science at the University of Windsor, the School of Nursing at Dalhousie University and the Centre for Innovative Medical Technology (CIMT), at the University of Southern Denmark.  Dr. Snowdon is leading a national Community of Practice to advance supply chain resilience across Canada, she has published more than 150 research articles, papers and cases, has received over $24 million in research funding, holds patents and has commercialized a highly successful booster seat product for children traveling in vehicles and is a Fulbright Scholar. She holds a PhD in Nursing from the University of Michigan, an MSc from McGill University, and BScN from Western University. Â
Find more HIMSS23 coverage here
VIDEO: Moving Digital Transformation Forward in Healthcare
VIDEO: Key Components to Creating and Implementing AI and Digital Transformation Solutions
VIDEO: The Benefits and Pitfalls of Artificial Intelligence in Healthcare
VIDEO: A Look at Cybersecurity and How Healthcare is at Risk
Â
Related Digital Transformation Content:
Robocath Launches New Robotic Platform R-One+
VIDEO: Using Maturity Models to Measure Digital Health
VIDEO: Moving Digital Transformation Forward in Healthcare
VIDEO: Key Components to Creating and Implementing AI and Digital Transformation Solutions
VIDEO: The Benefits and Pitfalls of Artificial Intelligence in Healthcare
VIDEO: A Look at Cybersecurity and How Healthcare is at Risk
New ACC President Defines Priorities for Year Ahead
Health That Connects + Tech That Cares at HIMSS 2023
ACC22: Transforming Cardiovascular Care
Â
Â
Healthcare is constantly evolving, finding new ways to innovate and advance digital tools and technology. With this comes the need for transformation to keep up with these advancements. DAIC spoke with Anne Snowdon, RN, PhD, FAAN, professor of strategy entrepreneurship, Odette Business School, University of Windsor, CEO of SCAN Health and Chief Scientific Research Officer, HIMSS Analytics, to find out more about the steps needed for this transformation and what we can expect to see in the future of healthcare.
Dr. Anne Snowdon is a Professor of Strategy and Entrepreneurship at the Odette School of Business, University of Windsor.  Currently, Dr. Snowdon is the Chief Scientific Research Officer for HIMSS, Vice Chair of the Board of the Directors for Alberta Innovates, and member of the Health Futures Council of Arizona State University (ASU).  She is an Adjunct Faculty at the Department of Computer Science at the University of Windsor, the School of Nursing at Dalhousie University and the Centre for Innovative Medical Technology (CIMT), at the University of Southern Denmark.  Dr. Snowdon is leading a national Community of Practice to advance supply chain resilience across Canada, she has published more than 150 research articles, papers and cases, has received over $24 million in research funding, holds patents and has commercialized a highly successful booster seat product for children traveling in vehicles and is a Fulbright Scholar. She holds a PhD in Nursing from the University of Michigan, an MSc from McGill University, and BScN from Western University. Â
Find more HIMSS23 coverage here
VIDEO: Key Components to Creating and Implementing AI and Digital Transformation Solutions
VIDEO: The Benefits and Pitfalls of Artificial Intelligence in Healthcare
VIDEO: A Look at Cybersecurity and How Healthcare is at Risk
Related Digital Transformation Content:
Robocath Launches New Robotic Platform R-One+
VIDEO: Using Maturity Models to Measure Digital Health
VIDEO: Moving Digital Transformation Forward in Healthcare
VIDEO: Key Components to Creating and Implementing AI and Digital Transformation Solutions
VIDEO: The Benefits and Pitfalls of Artificial Intelligence in Healthcare
VIDEO: A Look at Cybersecurity and How Healthcare is at Risk
New ACC President Defines Priorities for Year Ahead
Cath Lab View all 316 items
As part of DAIC's continuing Thought Leadership Series, this month Editorial Director Melinda Taschetta-Millane sits down with Philip B. Adamson, MD, MSc, FACC, Chief Medical Officer of CVRx, to talk about health equity — starting at the beginning of clinical trials, and including how medical device manufacturers need a clear roadmap from the get-go to achieve success.
As Chief Medical Officer of CVRx, Dr. Adamson will spearhead efforts to drive awareness and appropriate use of Barostim therapy among clinicians. He will guide comprehensive medical education, outreach and guideline integration initiatives to establish Barostim as the standard of care for patients with heart failure. Dr. Adamson previously was with Abbott Laboratories, where he served as Divisional Vice President and Chief Medical Officer of the Heart Failure division. A renowned expert in heart failure, he has nearly three decades of experience in academia as a professor and as a practicing cardiologist, during which time he authored over 150 manuscripts and book chapters. Dr. Adamson earned his MD with distinction from the University of Oklahoma College of Medicine and MSc in physiology from the University of Oklahoma.
His clinical interests focus on developing more efficient and effective disease management systems for patients with chronic heart failure, specifically focusing on remote monitoring of physiologic signals from implanted devices. He has also served as the principal investigator on the steering committees of several large randomized clinical trials over the past decade.
Related content:
DAIC Thought Leadership Series: Practical Realities of Artificial Intelligence in Echocardiology
DAIC Thought Leadership Series: Collaboration Challenges in Complex Cardiology Settings
Â
Industry trade shows and conferences seem to be making their comeback in 2024. And the Healthcare Information and Management Systems Society (HIMSS) Global Conference and Exhibition seems particularly poised to deliver the best of the best when it comes to digital transformation in both the delivery of healthcare, but also the delivery of a quality experience for those in this demanding, rapidly evolving industry. This month in our ongoing One on One series with industry leaders, we are talking with Hal Wolf, FHIMSS, president and CEO of HIMSS. He offered insights on the society’s new partnership with Informa Markets, key topics being covered at HIMSS24, AI’s impact on the industry, and his thoughts on healthcare sustainability.
Find more HIMSS24 conference coverage here
A New Partnership for Growth
Last August, Informa Markets and HIMSS announced a landmark partnership to propel the growth and evolution of the HIMSS Global Health Conference and Exhibition, recognized as the most influential healthcare technology event of the year, and in North America. It draws 40,000 health professionals, tech leaders, providers and governmental organizations from across the globe. Informa Markets, the world’s largest exhibition organizer, took on management of the HIMSS Exhibition, while HIMSS continues to oversee developing expert content and programming.
Exciting New Features at HIMSS24
At HIMSS2024, with this new collaboration comes new features, including:
- A Digital Health Technology Theme Park, filled with innovations that revolve around AI, workforce and the business of healthcare;
- The Government Connections Plaza, featuring the latest rundown from Washington;
- A reimagined Interoperability Showcase for a deeper dive into the inner workings of healthcare;
- Hot topics will be featured on the exhibition Main Stage; and
- A Hosted Buyer Program, facilitating focused meetings between providers and trusted companies in healthcare technology.
Related content:
Find more HIMSS24 conference coverage here
VIDEO: Using Maturity Models to Measure Digital Health
VIDEO: Moving Digital Transformation Forward in Healthcare
VIDEO: Key Components to Creating and Implementing AI and Digital Transformation Solutions
VIDEO: The Benefits and Pitfalls of Artificial Intelligence in Healthcare
VIDEO: A Look at Cybersecurity and How Healthcare is at Risk
HIMMS is working to bring empirical knowledge and evidence of value and impact of digital maturity measured by the HIMSS maturity models and the Digital Health Indicator (DHI), which is a blueprint for digital health advancement. The maturity models provide prescriptive frameworks to healthcare organizations to help build their digital health ecosystems. DAIC spoke with Anne Snowdon, RN, PhD, FAAN, professor of strategy entrepreneurship, Odette Business School, University of Windsor, CEO of SCAN Health and Chief Scientific Research Officer, HIMSS Analytics, to find out more about these models, and what the latest scientific research is telling us.
Dr. Anne Snowdon is a Professor of Strategy and Entrepreneurship at the Odette School of Business, University of Windsor.  Currently, Dr. Snowdon is the Chief Scientific Research Officer for HIMSS, Vice Chair of the Board of the Directors for Alberta Innovates, and member of the Health Futures Council of Arizona State University (ASU).  She is an Adjunct Faculty at the Department of Computer Science at the University of Windsor, the School of Nursing at Dalhousie University and the Centre for Innovative Medical Technology (CIMT), at the University of Southern Denmark.  Dr. Snowdon is leading a national Community of Practice to advance supply chain resilience across Canada, she has published more than 150 research articles, papers and cases, has received over $24 million in research funding, holds patents and has commercialized a highly successful booster seat product for children traveling in vehicles and is a Fulbright Scholar. She holds a PhD in Nursing from the University of Michigan, an MSc from McGill University, and BScN from Western University. Â
Find more HIMSS23 coverage here
VIDEO: Moving Digital Transformation Forward in Healthcare
VIDEO: Key Components to Creating and Implementing AI and Digital Transformation Solutions
VIDEO: The Benefits and Pitfalls of Artificial Intelligence in Healthcare
VIDEO: A Look at Cybersecurity and How Healthcare is at Risk
Â
Related Digital Transformation Content:
Robocath Launches New Robotic Platform R-One+
VIDEO: Using Maturity Models to Measure Digital Health
VIDEO: Moving Digital Transformation Forward in Healthcare
VIDEO: Key Components to Creating and Implementing AI and Digital Transformation Solutions
VIDEO: The Benefits and Pitfalls of Artificial Intelligence in Healthcare
VIDEO: A Look at Cybersecurity and How Healthcare is at Risk
New ACC President Defines Priorities for Year Ahead
Health That Connects + Tech That Cares at HIMSS 2023
ACC22: Transforming Cardiovascular Care
Â
Â
Healthcare is constantly evolving, finding new ways to innovate and advance digital tools and technology. With this comes the need for transformation to keep up with these advancements. DAIC spoke with Anne Snowdon, RN, PhD, FAAN, professor of strategy entrepreneurship, Odette Business School, University of Windsor, CEO of SCAN Health and Chief Scientific Research Officer, HIMSS Analytics, to find out more about the steps needed for this transformation and what we can expect to see in the future of healthcare.
Dr. Anne Snowdon is a Professor of Strategy and Entrepreneurship at the Odette School of Business, University of Windsor.  Currently, Dr. Snowdon is the Chief Scientific Research Officer for HIMSS, Vice Chair of the Board of the Directors for Alberta Innovates, and member of the Health Futures Council of Arizona State University (ASU).  She is an Adjunct Faculty at the Department of Computer Science at the University of Windsor, the School of Nursing at Dalhousie University and the Centre for Innovative Medical Technology (CIMT), at the University of Southern Denmark.  Dr. Snowdon is leading a national Community of Practice to advance supply chain resilience across Canada, she has published more than 150 research articles, papers and cases, has received over $24 million in research funding, holds patents and has commercialized a highly successful booster seat product for children traveling in vehicles and is a Fulbright Scholar. She holds a PhD in Nursing from the University of Michigan, an MSc from McGill University, and BScN from Western University. Â
Find more HIMSS23 coverage here
VIDEO: Key Components to Creating and Implementing AI and Digital Transformation Solutions
VIDEO: The Benefits and Pitfalls of Artificial Intelligence in Healthcare
VIDEO: A Look at Cybersecurity and How Healthcare is at Risk
Related Digital Transformation Content:
Robocath Launches New Robotic Platform R-One+
VIDEO: Using Maturity Models to Measure Digital Health
VIDEO: Moving Digital Transformation Forward in Healthcare
VIDEO: Key Components to Creating and Implementing AI and Digital Transformation Solutions
VIDEO: The Benefits and Pitfalls of Artificial Intelligence in Healthcare
VIDEO: A Look at Cybersecurity and How Healthcare is at Risk
New ACC President Defines Priorities for Year Ahead
Cardiac Imaging View all 289 items
As part of DAIC's continuing Thought Leadership Series, this month Editorial Director Melinda Taschetta-Millane sits down with Philip B. Adamson, MD, MSc, FACC, Chief Medical Officer of CVRx, to talk about health equity — starting at the beginning of clinical trials, and including how medical device manufacturers need a clear roadmap from the get-go to achieve success.
As Chief Medical Officer of CVRx, Dr. Adamson will spearhead efforts to drive awareness and appropriate use of Barostim therapy among clinicians. He will guide comprehensive medical education, outreach and guideline integration initiatives to establish Barostim as the standard of care for patients with heart failure. Dr. Adamson previously was with Abbott Laboratories, where he served as Divisional Vice President and Chief Medical Officer of the Heart Failure division. A renowned expert in heart failure, he has nearly three decades of experience in academia as a professor and as a practicing cardiologist, during which time he authored over 150 manuscripts and book chapters. Dr. Adamson earned his MD with distinction from the University of Oklahoma College of Medicine and MSc in physiology from the University of Oklahoma.
His clinical interests focus on developing more efficient and effective disease management systems for patients with chronic heart failure, specifically focusing on remote monitoring of physiologic signals from implanted devices. He has also served as the principal investigator on the steering committees of several large randomized clinical trials over the past decade.
Related content:
DAIC Thought Leadership Series: Practical Realities of Artificial Intelligence in Echocardiology
DAIC Thought Leadership Series: Collaboration Challenges in Complex Cardiology Settings
Â
Industry trade shows and conferences seem to be making their comeback in 2024. And the Healthcare Information and Management Systems Society (HIMSS) Global Conference and Exhibition seems particularly poised to deliver the best of the best when it comes to digital transformation in both the delivery of healthcare, but also the delivery of a quality experience for those in this demanding, rapidly evolving industry. This month in our ongoing One on One series with industry leaders, we are talking with Hal Wolf, FHIMSS, president and CEO of HIMSS. He offered insights on the society’s new partnership with Informa Markets, key topics being covered at HIMSS24, AI’s impact on the industry, and his thoughts on healthcare sustainability.
Find more HIMSS24 conference coverage here
A New Partnership for Growth
Last August, Informa Markets and HIMSS announced a landmark partnership to propel the growth and evolution of the HIMSS Global Health Conference and Exhibition, recognized as the most influential healthcare technology event of the year, and in North America. It draws 40,000 health professionals, tech leaders, providers and governmental organizations from across the globe. Informa Markets, the world’s largest exhibition organizer, took on management of the HIMSS Exhibition, while HIMSS continues to oversee developing expert content and programming.
Exciting New Features at HIMSS24
At HIMSS2024, with this new collaboration comes new features, including:
- A Digital Health Technology Theme Park, filled with innovations that revolve around AI, workforce and the business of healthcare;
- The Government Connections Plaza, featuring the latest rundown from Washington;
- A reimagined Interoperability Showcase for a deeper dive into the inner workings of healthcare;
- Hot topics will be featured on the exhibition Main Stage; and
- A Hosted Buyer Program, facilitating focused meetings between providers and trusted companies in healthcare technology.
Related content:
Find more HIMSS24 conference coverage here
VIDEO: Using Maturity Models to Measure Digital Health
VIDEO: Moving Digital Transformation Forward in Healthcare
VIDEO: Key Components to Creating and Implementing AI and Digital Transformation Solutions
VIDEO: The Benefits and Pitfalls of Artificial Intelligence in Healthcare
VIDEO: A Look at Cybersecurity and How Healthcare is at Risk
HIMMS is working to bring empirical knowledge and evidence of value and impact of digital maturity measured by the HIMSS maturity models and the Digital Health Indicator (DHI), which is a blueprint for digital health advancement. The maturity models provide prescriptive frameworks to healthcare organizations to help build their digital health ecosystems. DAIC spoke with Anne Snowdon, RN, PhD, FAAN, professor of strategy entrepreneurship, Odette Business School, University of Windsor, CEO of SCAN Health and Chief Scientific Research Officer, HIMSS Analytics, to find out more about these models, and what the latest scientific research is telling us.
Dr. Anne Snowdon is a Professor of Strategy and Entrepreneurship at the Odette School of Business, University of Windsor.  Currently, Dr. Snowdon is the Chief Scientific Research Officer for HIMSS, Vice Chair of the Board of the Directors for Alberta Innovates, and member of the Health Futures Council of Arizona State University (ASU).  She is an Adjunct Faculty at the Department of Computer Science at the University of Windsor, the School of Nursing at Dalhousie University and the Centre for Innovative Medical Technology (CIMT), at the University of Southern Denmark.  Dr. Snowdon is leading a national Community of Practice to advance supply chain resilience across Canada, she has published more than 150 research articles, papers and cases, has received over $24 million in research funding, holds patents and has commercialized a highly successful booster seat product for children traveling in vehicles and is a Fulbright Scholar. She holds a PhD in Nursing from the University of Michigan, an MSc from McGill University, and BScN from Western University. Â
Find more HIMSS23 coverage here
VIDEO: Moving Digital Transformation Forward in Healthcare
VIDEO: Key Components to Creating and Implementing AI and Digital Transformation Solutions
VIDEO: The Benefits and Pitfalls of Artificial Intelligence in Healthcare
VIDEO: A Look at Cybersecurity and How Healthcare is at Risk
Â
Related Digital Transformation Content:
Robocath Launches New Robotic Platform R-One+
VIDEO: Using Maturity Models to Measure Digital Health
VIDEO: Moving Digital Transformation Forward in Healthcare
VIDEO: Key Components to Creating and Implementing AI and Digital Transformation Solutions
VIDEO: The Benefits and Pitfalls of Artificial Intelligence in Healthcare
VIDEO: A Look at Cybersecurity and How Healthcare is at Risk
New ACC President Defines Priorities for Year Ahead
Health That Connects + Tech That Cares at HIMSS 2023
ACC22: Transforming Cardiovascular Care
Â
Â
Healthcare is constantly evolving, finding new ways to innovate and advance digital tools and technology. With this comes the need for transformation to keep up with these advancements. DAIC spoke with Anne Snowdon, RN, PhD, FAAN, professor of strategy entrepreneurship, Odette Business School, University of Windsor, CEO of SCAN Health and Chief Scientific Research Officer, HIMSS Analytics, to find out more about the steps needed for this transformation and what we can expect to see in the future of healthcare.
Dr. Anne Snowdon is a Professor of Strategy and Entrepreneurship at the Odette School of Business, University of Windsor.  Currently, Dr. Snowdon is the Chief Scientific Research Officer for HIMSS, Vice Chair of the Board of the Directors for Alberta Innovates, and member of the Health Futures Council of Arizona State University (ASU).  She is an Adjunct Faculty at the Department of Computer Science at the University of Windsor, the School of Nursing at Dalhousie University and the Centre for Innovative Medical Technology (CIMT), at the University of Southern Denmark.  Dr. Snowdon is leading a national Community of Practice to advance supply chain resilience across Canada, she has published more than 150 research articles, papers and cases, has received over $24 million in research funding, holds patents and has commercialized a highly successful booster seat product for children traveling in vehicles and is a Fulbright Scholar. She holds a PhD in Nursing from the University of Michigan, an MSc from McGill University, and BScN from Western University. Â
Find more HIMSS23 coverage here
VIDEO: Key Components to Creating and Implementing AI and Digital Transformation Solutions
VIDEO: The Benefits and Pitfalls of Artificial Intelligence in Healthcare
VIDEO: A Look at Cybersecurity and How Healthcare is at Risk
Related Digital Transformation Content:
Robocath Launches New Robotic Platform R-One+
VIDEO: Using Maturity Models to Measure Digital Health
VIDEO: Moving Digital Transformation Forward in Healthcare
VIDEO: Key Components to Creating and Implementing AI and Digital Transformation Solutions
VIDEO: The Benefits and Pitfalls of Artificial Intelligence in Healthcare
VIDEO: A Look at Cybersecurity and How Healthcare is at Risk
New ACC President Defines Priorities for Year Ahead
Cardiac Diagnostics View all 78 items
As part of DAIC's continuing Thought Leadership Series, this month Editorial Director Melinda Taschetta-Millane sits down with Philip B. Adamson, MD, MSc, FACC, Chief Medical Officer of CVRx, to talk about health equity — starting at the beginning of clinical trials, and including how medical device manufacturers need a clear roadmap from the get-go to achieve success.
As Chief Medical Officer of CVRx, Dr. Adamson will spearhead efforts to drive awareness and appropriate use of Barostim therapy among clinicians. He will guide comprehensive medical education, outreach and guideline integration initiatives to establish Barostim as the standard of care for patients with heart failure. Dr. Adamson previously was with Abbott Laboratories, where he served as Divisional Vice President and Chief Medical Officer of the Heart Failure division. A renowned expert in heart failure, he has nearly three decades of experience in academia as a professor and as a practicing cardiologist, during which time he authored over 150 manuscripts and book chapters. Dr. Adamson earned his MD with distinction from the University of Oklahoma College of Medicine and MSc in physiology from the University of Oklahoma.
His clinical interests focus on developing more efficient and effective disease management systems for patients with chronic heart failure, specifically focusing on remote monitoring of physiologic signals from implanted devices. He has also served as the principal investigator on the steering committees of several large randomized clinical trials over the past decade.
Related content:
DAIC Thought Leadership Series: Practical Realities of Artificial Intelligence in Echocardiology
DAIC Thought Leadership Series: Collaboration Challenges in Complex Cardiology Settings
Â
Industry trade shows and conferences seem to be making their comeback in 2024. And the Healthcare Information and Management Systems Society (HIMSS) Global Conference and Exhibition seems particularly poised to deliver the best of the best when it comes to digital transformation in both the delivery of healthcare, but also the delivery of a quality experience for those in this demanding, rapidly evolving industry. This month in our ongoing One on One series with industry leaders, we are talking with Hal Wolf, FHIMSS, president and CEO of HIMSS. He offered insights on the society’s new partnership with Informa Markets, key topics being covered at HIMSS24, AI’s impact on the industry, and his thoughts on healthcare sustainability.
Find more HIMSS24 conference coverage here
A New Partnership for Growth
Last August, Informa Markets and HIMSS announced a landmark partnership to propel the growth and evolution of the HIMSS Global Health Conference and Exhibition, recognized as the most influential healthcare technology event of the year, and in North America. It draws 40,000 health professionals, tech leaders, providers and governmental organizations from across the globe. Informa Markets, the world’s largest exhibition organizer, took on management of the HIMSS Exhibition, while HIMSS continues to oversee developing expert content and programming.
Exciting New Features at HIMSS24
At HIMSS2024, with this new collaboration comes new features, including:
- A Digital Health Technology Theme Park, filled with innovations that revolve around AI, workforce and the business of healthcare;
- The Government Connections Plaza, featuring the latest rundown from Washington;
- A reimagined Interoperability Showcase for a deeper dive into the inner workings of healthcare;
- Hot topics will be featured on the exhibition Main Stage; and
- A Hosted Buyer Program, facilitating focused meetings between providers and trusted companies in healthcare technology.
Related content:
Find more HIMSS24 conference coverage here
VIDEO: Using Maturity Models to Measure Digital Health
VIDEO: Moving Digital Transformation Forward in Healthcare
VIDEO: Key Components to Creating and Implementing AI and Digital Transformation Solutions
VIDEO: The Benefits and Pitfalls of Artificial Intelligence in Healthcare
VIDEO: A Look at Cybersecurity and How Healthcare is at Risk
HIMMS is working to bring empirical knowledge and evidence of value and impact of digital maturity measured by the HIMSS maturity models and the Digital Health Indicator (DHI), which is a blueprint for digital health advancement. The maturity models provide prescriptive frameworks to healthcare organizations to help build their digital health ecosystems. DAIC spoke with Anne Snowdon, RN, PhD, FAAN, professor of strategy entrepreneurship, Odette Business School, University of Windsor, CEO of SCAN Health and Chief Scientific Research Officer, HIMSS Analytics, to find out more about these models, and what the latest scientific research is telling us.
Dr. Anne Snowdon is a Professor of Strategy and Entrepreneurship at the Odette School of Business, University of Windsor.  Currently, Dr. Snowdon is the Chief Scientific Research Officer for HIMSS, Vice Chair of the Board of the Directors for Alberta Innovates, and member of the Health Futures Council of Arizona State University (ASU).  She is an Adjunct Faculty at the Department of Computer Science at the University of Windsor, the School of Nursing at Dalhousie University and the Centre for Innovative Medical Technology (CIMT), at the University of Southern Denmark.  Dr. Snowdon is leading a national Community of Practice to advance supply chain resilience across Canada, she has published more than 150 research articles, papers and cases, has received over $24 million in research funding, holds patents and has commercialized a highly successful booster seat product for children traveling in vehicles and is a Fulbright Scholar. She holds a PhD in Nursing from the University of Michigan, an MSc from McGill University, and BScN from Western University. Â
Find more HIMSS23 coverage here
VIDEO: Moving Digital Transformation Forward in Healthcare
VIDEO: Key Components to Creating and Implementing AI and Digital Transformation Solutions
VIDEO: The Benefits and Pitfalls of Artificial Intelligence in Healthcare
VIDEO: A Look at Cybersecurity and How Healthcare is at Risk
Â
Related Digital Transformation Content:
Robocath Launches New Robotic Platform R-One+
VIDEO: Using Maturity Models to Measure Digital Health
VIDEO: Moving Digital Transformation Forward in Healthcare
VIDEO: Key Components to Creating and Implementing AI and Digital Transformation Solutions
VIDEO: The Benefits and Pitfalls of Artificial Intelligence in Healthcare
VIDEO: A Look at Cybersecurity and How Healthcare is at Risk
New ACC President Defines Priorities for Year Ahead
Health That Connects + Tech That Cares at HIMSS 2023
ACC22: Transforming Cardiovascular Care
Â
Â
Healthcare is constantly evolving, finding new ways to innovate and advance digital tools and technology. With this comes the need for transformation to keep up with these advancements. DAIC spoke with Anne Snowdon, RN, PhD, FAAN, professor of strategy entrepreneurship, Odette Business School, University of Windsor, CEO of SCAN Health and Chief Scientific Research Officer, HIMSS Analytics, to find out more about the steps needed for this transformation and what we can expect to see in the future of healthcare.
Dr. Anne Snowdon is a Professor of Strategy and Entrepreneurship at the Odette School of Business, University of Windsor.  Currently, Dr. Snowdon is the Chief Scientific Research Officer for HIMSS, Vice Chair of the Board of the Directors for Alberta Innovates, and member of the Health Futures Council of Arizona State University (ASU).  She is an Adjunct Faculty at the Department of Computer Science at the University of Windsor, the School of Nursing at Dalhousie University and the Centre for Innovative Medical Technology (CIMT), at the University of Southern Denmark.  Dr. Snowdon is leading a national Community of Practice to advance supply chain resilience across Canada, she has published more than 150 research articles, papers and cases, has received over $24 million in research funding, holds patents and has commercialized a highly successful booster seat product for children traveling in vehicles and is a Fulbright Scholar. She holds a PhD in Nursing from the University of Michigan, an MSc from McGill University, and BScN from Western University. Â
Find more HIMSS23 coverage here
VIDEO: Key Components to Creating and Implementing AI and Digital Transformation Solutions
VIDEO: The Benefits and Pitfalls of Artificial Intelligence in Healthcare
VIDEO: A Look at Cybersecurity and How Healthcare is at Risk
Related Digital Transformation Content:
Robocath Launches New Robotic Platform R-One+
VIDEO: Using Maturity Models to Measure Digital Health
VIDEO: Moving Digital Transformation Forward in Healthcare
VIDEO: Key Components to Creating and Implementing AI and Digital Transformation Solutions
VIDEO: The Benefits and Pitfalls of Artificial Intelligence in Healthcare
VIDEO: A Look at Cybersecurity and How Healthcare is at Risk
New ACC President Defines Priorities for Year Ahead
EP Lab View all 83 items
As part of DAIC's continuing Thought Leadership Series, this month Editorial Director Melinda Taschetta-Millane sits down with Philip B. Adamson, MD, MSc, FACC, Chief Medical Officer of CVRx, to talk about health equity — starting at the beginning of clinical trials, and including how medical device manufacturers need a clear roadmap from the get-go to achieve success.
As Chief Medical Officer of CVRx, Dr. Adamson will spearhead efforts to drive awareness and appropriate use of Barostim therapy among clinicians. He will guide comprehensive medical education, outreach and guideline integration initiatives to establish Barostim as the standard of care for patients with heart failure. Dr. Adamson previously was with Abbott Laboratories, where he served as Divisional Vice President and Chief Medical Officer of the Heart Failure division. A renowned expert in heart failure, he has nearly three decades of experience in academia as a professor and as a practicing cardiologist, during which time he authored over 150 manuscripts and book chapters. Dr. Adamson earned his MD with distinction from the University of Oklahoma College of Medicine and MSc in physiology from the University of Oklahoma.
His clinical interests focus on developing more efficient and effective disease management systems for patients with chronic heart failure, specifically focusing on remote monitoring of physiologic signals from implanted devices. He has also served as the principal investigator on the steering committees of several large randomized clinical trials over the past decade.
Related content:
DAIC Thought Leadership Series: Practical Realities of Artificial Intelligence in Echocardiology
DAIC Thought Leadership Series: Collaboration Challenges in Complex Cardiology Settings
Â
Industry trade shows and conferences seem to be making their comeback in 2024. And the Healthcare Information and Management Systems Society (HIMSS) Global Conference and Exhibition seems particularly poised to deliver the best of the best when it comes to digital transformation in both the delivery of healthcare, but also the delivery of a quality experience for those in this demanding, rapidly evolving industry. This month in our ongoing One on One series with industry leaders, we are talking with Hal Wolf, FHIMSS, president and CEO of HIMSS. He offered insights on the society’s new partnership with Informa Markets, key topics being covered at HIMSS24, AI’s impact on the industry, and his thoughts on healthcare sustainability.
Find more HIMSS24 conference coverage here
A New Partnership for Growth
Last August, Informa Markets and HIMSS announced a landmark partnership to propel the growth and evolution of the HIMSS Global Health Conference and Exhibition, recognized as the most influential healthcare technology event of the year, and in North America. It draws 40,000 health professionals, tech leaders, providers and governmental organizations from across the globe. Informa Markets, the world’s largest exhibition organizer, took on management of the HIMSS Exhibition, while HIMSS continues to oversee developing expert content and programming.
Exciting New Features at HIMSS24
At HIMSS2024, with this new collaboration comes new features, including:
- A Digital Health Technology Theme Park, filled with innovations that revolve around AI, workforce and the business of healthcare;
- The Government Connections Plaza, featuring the latest rundown from Washington;
- A reimagined Interoperability Showcase for a deeper dive into the inner workings of healthcare;
- Hot topics will be featured on the exhibition Main Stage; and
- A Hosted Buyer Program, facilitating focused meetings between providers and trusted companies in healthcare technology.
Related content:
Find more HIMSS24 conference coverage here
VIDEO: Using Maturity Models to Measure Digital Health
VIDEO: Moving Digital Transformation Forward in Healthcare
VIDEO: Key Components to Creating and Implementing AI and Digital Transformation Solutions
VIDEO: The Benefits and Pitfalls of Artificial Intelligence in Healthcare
VIDEO: A Look at Cybersecurity and How Healthcare is at Risk
HIMMS is working to bring empirical knowledge and evidence of value and impact of digital maturity measured by the HIMSS maturity models and the Digital Health Indicator (DHI), which is a blueprint for digital health advancement. The maturity models provide prescriptive frameworks to healthcare organizations to help build their digital health ecosystems. DAIC spoke with Anne Snowdon, RN, PhD, FAAN, professor of strategy entrepreneurship, Odette Business School, University of Windsor, CEO of SCAN Health and Chief Scientific Research Officer, HIMSS Analytics, to find out more about these models, and what the latest scientific research is telling us.
Dr. Anne Snowdon is a Professor of Strategy and Entrepreneurship at the Odette School of Business, University of Windsor.  Currently, Dr. Snowdon is the Chief Scientific Research Officer for HIMSS, Vice Chair of the Board of the Directors for Alberta Innovates, and member of the Health Futures Council of Arizona State University (ASU).  She is an Adjunct Faculty at the Department of Computer Science at the University of Windsor, the School of Nursing at Dalhousie University and the Centre for Innovative Medical Technology (CIMT), at the University of Southern Denmark.  Dr. Snowdon is leading a national Community of Practice to advance supply chain resilience across Canada, she has published more than 150 research articles, papers and cases, has received over $24 million in research funding, holds patents and has commercialized a highly successful booster seat product for children traveling in vehicles and is a Fulbright Scholar. She holds a PhD in Nursing from the University of Michigan, an MSc from McGill University, and BScN from Western University. Â
Find more HIMSS23 coverage here
VIDEO: Moving Digital Transformation Forward in Healthcare
VIDEO: Key Components to Creating and Implementing AI and Digital Transformation Solutions
VIDEO: The Benefits and Pitfalls of Artificial Intelligence in Healthcare
VIDEO: A Look at Cybersecurity and How Healthcare is at Risk
Â
Related Digital Transformation Content:
Robocath Launches New Robotic Platform R-One+
VIDEO: Using Maturity Models to Measure Digital Health
VIDEO: Moving Digital Transformation Forward in Healthcare
VIDEO: Key Components to Creating and Implementing AI and Digital Transformation Solutions
VIDEO: The Benefits and Pitfalls of Artificial Intelligence in Healthcare
VIDEO: A Look at Cybersecurity and How Healthcare is at Risk
New ACC President Defines Priorities for Year Ahead
Health That Connects + Tech That Cares at HIMSS 2023
ACC22: Transforming Cardiovascular Care
Â
Â
Healthcare is constantly evolving, finding new ways to innovate and advance digital tools and technology. With this comes the need for transformation to keep up with these advancements. DAIC spoke with Anne Snowdon, RN, PhD, FAAN, professor of strategy entrepreneurship, Odette Business School, University of Windsor, CEO of SCAN Health and Chief Scientific Research Officer, HIMSS Analytics, to find out more about the steps needed for this transformation and what we can expect to see in the future of healthcare.
Dr. Anne Snowdon is a Professor of Strategy and Entrepreneurship at the Odette School of Business, University of Windsor.  Currently, Dr. Snowdon is the Chief Scientific Research Officer for HIMSS, Vice Chair of the Board of the Directors for Alberta Innovates, and member of the Health Futures Council of Arizona State University (ASU).  She is an Adjunct Faculty at the Department of Computer Science at the University of Windsor, the School of Nursing at Dalhousie University and the Centre for Innovative Medical Technology (CIMT), at the University of Southern Denmark.  Dr. Snowdon is leading a national Community of Practice to advance supply chain resilience across Canada, she has published more than 150 research articles, papers and cases, has received over $24 million in research funding, holds patents and has commercialized a highly successful booster seat product for children traveling in vehicles and is a Fulbright Scholar. She holds a PhD in Nursing from the University of Michigan, an MSc from McGill University, and BScN from Western University. Â
Find more HIMSS23 coverage here
VIDEO: Key Components to Creating and Implementing AI and Digital Transformation Solutions
VIDEO: The Benefits and Pitfalls of Artificial Intelligence in Healthcare
VIDEO: A Look at Cybersecurity and How Healthcare is at Risk
Related Digital Transformation Content:
Robocath Launches New Robotic Platform R-One+
VIDEO: Using Maturity Models to Measure Digital Health
VIDEO: Moving Digital Transformation Forward in Healthcare
VIDEO: Key Components to Creating and Implementing AI and Digital Transformation Solutions
VIDEO: The Benefits and Pitfalls of Artificial Intelligence in Healthcare
VIDEO: A Look at Cybersecurity and How Healthcare is at Risk
New ACC President Defines Priorities for Year Ahead
Information Technology View all 177 items
As part of DAIC's continuing Thought Leadership Series, this month Editorial Director Melinda Taschetta-Millane sits down with Philip B. Adamson, MD, MSc, FACC, Chief Medical Officer of CVRx, to talk about health equity — starting at the beginning of clinical trials, and including how medical device manufacturers need a clear roadmap from the get-go to achieve success.
As Chief Medical Officer of CVRx, Dr. Adamson will spearhead efforts to drive awareness and appropriate use of Barostim therapy among clinicians. He will guide comprehensive medical education, outreach and guideline integration initiatives to establish Barostim as the standard of care for patients with heart failure. Dr. Adamson previously was with Abbott Laboratories, where he served as Divisional Vice President and Chief Medical Officer of the Heart Failure division. A renowned expert in heart failure, he has nearly three decades of experience in academia as a professor and as a practicing cardiologist, during which time he authored over 150 manuscripts and book chapters. Dr. Adamson earned his MD with distinction from the University of Oklahoma College of Medicine and MSc in physiology from the University of Oklahoma.
His clinical interests focus on developing more efficient and effective disease management systems for patients with chronic heart failure, specifically focusing on remote monitoring of physiologic signals from implanted devices. He has also served as the principal investigator on the steering committees of several large randomized clinical trials over the past decade.
Related content:
DAIC Thought Leadership Series: Practical Realities of Artificial Intelligence in Echocardiology
DAIC Thought Leadership Series: Collaboration Challenges in Complex Cardiology Settings
Â
Industry trade shows and conferences seem to be making their comeback in 2024. And the Healthcare Information and Management Systems Society (HIMSS) Global Conference and Exhibition seems particularly poised to deliver the best of the best when it comes to digital transformation in both the delivery of healthcare, but also the delivery of a quality experience for those in this demanding, rapidly evolving industry. This month in our ongoing One on One series with industry leaders, we are talking with Hal Wolf, FHIMSS, president and CEO of HIMSS. He offered insights on the society’s new partnership with Informa Markets, key topics being covered at HIMSS24, AI’s impact on the industry, and his thoughts on healthcare sustainability.
Find more HIMSS24 conference coverage here
A New Partnership for Growth
Last August, Informa Markets and HIMSS announced a landmark partnership to propel the growth and evolution of the HIMSS Global Health Conference and Exhibition, recognized as the most influential healthcare technology event of the year, and in North America. It draws 40,000 health professionals, tech leaders, providers and governmental organizations from across the globe. Informa Markets, the world’s largest exhibition organizer, took on management of the HIMSS Exhibition, while HIMSS continues to oversee developing expert content and programming.
Exciting New Features at HIMSS24
At HIMSS2024, with this new collaboration comes new features, including:
- A Digital Health Technology Theme Park, filled with innovations that revolve around AI, workforce and the business of healthcare;
- The Government Connections Plaza, featuring the latest rundown from Washington;
- A reimagined Interoperability Showcase for a deeper dive into the inner workings of healthcare;
- Hot topics will be featured on the exhibition Main Stage; and
- A Hosted Buyer Program, facilitating focused meetings between providers and trusted companies in healthcare technology.
Related content:
Find more HIMSS24 conference coverage here
VIDEO: Using Maturity Models to Measure Digital Health
VIDEO: Moving Digital Transformation Forward in Healthcare
VIDEO: Key Components to Creating and Implementing AI and Digital Transformation Solutions
VIDEO: The Benefits and Pitfalls of Artificial Intelligence in Healthcare
VIDEO: A Look at Cybersecurity and How Healthcare is at Risk
HIMMS is working to bring empirical knowledge and evidence of value and impact of digital maturity measured by the HIMSS maturity models and the Digital Health Indicator (DHI), which is a blueprint for digital health advancement. The maturity models provide prescriptive frameworks to healthcare organizations to help build their digital health ecosystems. DAIC spoke with Anne Snowdon, RN, PhD, FAAN, professor of strategy entrepreneurship, Odette Business School, University of Windsor, CEO of SCAN Health and Chief Scientific Research Officer, HIMSS Analytics, to find out more about these models, and what the latest scientific research is telling us.
Dr. Anne Snowdon is a Professor of Strategy and Entrepreneurship at the Odette School of Business, University of Windsor.  Currently, Dr. Snowdon is the Chief Scientific Research Officer for HIMSS, Vice Chair of the Board of the Directors for Alberta Innovates, and member of the Health Futures Council of Arizona State University (ASU).  She is an Adjunct Faculty at the Department of Computer Science at the University of Windsor, the School of Nursing at Dalhousie University and the Centre for Innovative Medical Technology (CIMT), at the University of Southern Denmark.  Dr. Snowdon is leading a national Community of Practice to advance supply chain resilience across Canada, she has published more than 150 research articles, papers and cases, has received over $24 million in research funding, holds patents and has commercialized a highly successful booster seat product for children traveling in vehicles and is a Fulbright Scholar. She holds a PhD in Nursing from the University of Michigan, an MSc from McGill University, and BScN from Western University. Â
Find more HIMSS23 coverage here
VIDEO: Moving Digital Transformation Forward in Healthcare
VIDEO: Key Components to Creating and Implementing AI and Digital Transformation Solutions
VIDEO: The Benefits and Pitfalls of Artificial Intelligence in Healthcare
VIDEO: A Look at Cybersecurity and How Healthcare is at Risk
Â
Related Digital Transformation Content:
Robocath Launches New Robotic Platform R-One+
VIDEO: Using Maturity Models to Measure Digital Health
VIDEO: Moving Digital Transformation Forward in Healthcare
VIDEO: Key Components to Creating and Implementing AI and Digital Transformation Solutions
VIDEO: The Benefits and Pitfalls of Artificial Intelligence in Healthcare
VIDEO: A Look at Cybersecurity and How Healthcare is at Risk
New ACC President Defines Priorities for Year Ahead
Health That Connects + Tech That Cares at HIMSS 2023
ACC22: Transforming Cardiovascular Care
Â
Â
Healthcare is constantly evolving, finding new ways to innovate and advance digital tools and technology. With this comes the need for transformation to keep up with these advancements. DAIC spoke with Anne Snowdon, RN, PhD, FAAN, professor of strategy entrepreneurship, Odette Business School, University of Windsor, CEO of SCAN Health and Chief Scientific Research Officer, HIMSS Analytics, to find out more about the steps needed for this transformation and what we can expect to see in the future of healthcare.
Dr. Anne Snowdon is a Professor of Strategy and Entrepreneurship at the Odette School of Business, University of Windsor.  Currently, Dr. Snowdon is the Chief Scientific Research Officer for HIMSS, Vice Chair of the Board of the Directors for Alberta Innovates, and member of the Health Futures Council of Arizona State University (ASU).  She is an Adjunct Faculty at the Department of Computer Science at the University of Windsor, the School of Nursing at Dalhousie University and the Centre for Innovative Medical Technology (CIMT), at the University of Southern Denmark.  Dr. Snowdon is leading a national Community of Practice to advance supply chain resilience across Canada, she has published more than 150 research articles, papers and cases, has received over $24 million in research funding, holds patents and has commercialized a highly successful booster seat product for children traveling in vehicles and is a Fulbright Scholar. She holds a PhD in Nursing from the University of Michigan, an MSc from McGill University, and BScN from Western University. Â
Find more HIMSS23 coverage here
VIDEO: Key Components to Creating and Implementing AI and Digital Transformation Solutions
VIDEO: The Benefits and Pitfalls of Artificial Intelligence in Healthcare
VIDEO: A Look at Cybersecurity and How Healthcare is at Risk
Related Digital Transformation Content:
Robocath Launches New Robotic Platform R-One+
VIDEO: Using Maturity Models to Measure Digital Health
VIDEO: Moving Digital Transformation Forward in Healthcare
VIDEO: Key Components to Creating and Implementing AI and Digital Transformation Solutions
VIDEO: The Benefits and Pitfalls of Artificial Intelligence in Healthcare
VIDEO: A Look at Cybersecurity and How Healthcare is at Risk
New ACC President Defines Priorities for Year Ahead
